

Xinjiang Agricultural Sciences ›› 2023, Vol. 60 ›› Issue (12): 3057-3064.DOI: 10.6048/j.issn.1001-4330.2023.12.022
• Animal Husbandry Veterinarian·Microbes·Agricultural Equipment Engineering and Mechanization • Previous Articles Next Articles
LIU Shengxue1(
), LI Siqi2, WANG Xiaodong2, YANG Desong2(
)
Received:2023-03-21
Online:2023-12-20
Published:2024-01-03
Correspondence author:
YANG Desong(1977-),male, Doctor, Professor, Research direction: Pesticide toxicology, (E-mail)Supported by:通讯作者:
杨德松(1977-),男,安徽滁州人,教授,博士,研究方向为农药环境毒理学, (E-mail)yds_agr@shzu.edu.cn
作者简介:刘升学(1974-),男,甘肃通渭人,副教授,博士,研究方向植物病理学,(E-mail)liushengxue-1@163.com
基金资助:CLC Number:
LIU Shengxue, LI Siqi, WANG Xiaodong, YANG Desong. Diversity analysis of dsRNA in Alternaria solani[J]. Xinjiang Agricultural Sciences, 2023, 60(12): 3057-3064.
刘升学, 李思琪, 王晓东, 杨德松. 番茄早疫病菌dsRNA多样性分析[J]. 新疆农业科学, 2023, 60(12): 3057-3064.
Add to citation manager EndNote|Ris|BibTeX
URL: https://www.xjnykx.com/EN/10.6048/j.issn.1001-4330.2023.12.022
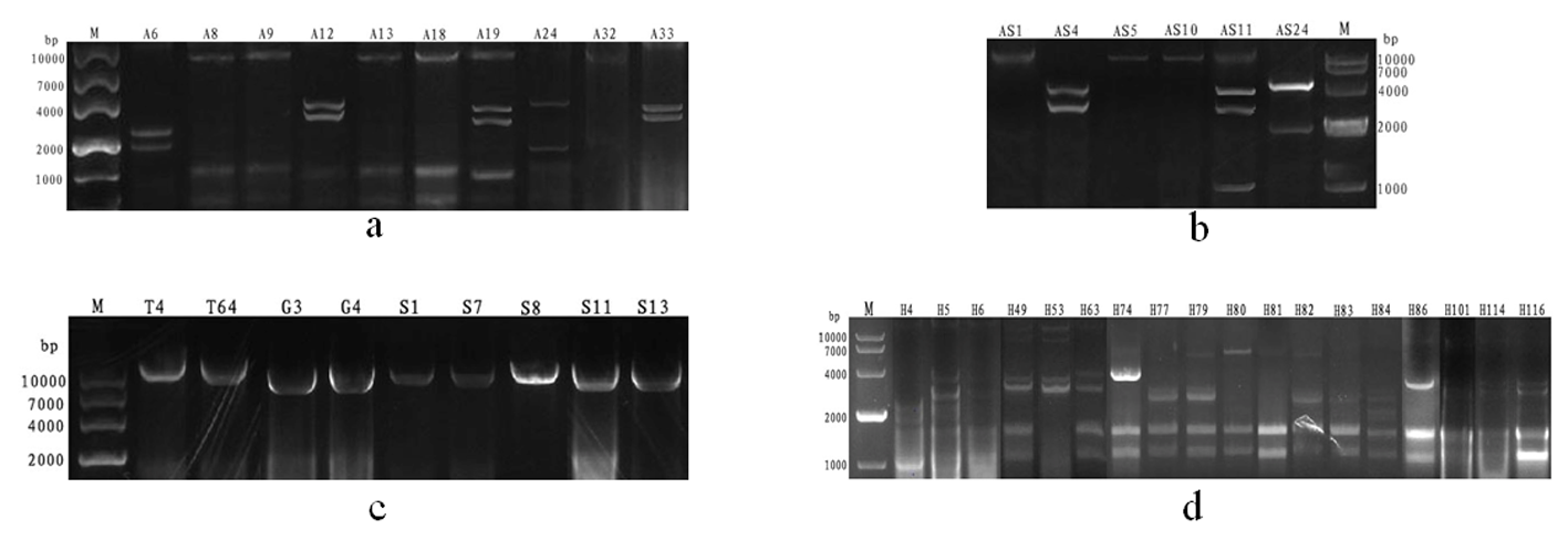
Fig.1 Detection of dsRNA in Alternaria solani isolate Note:M, DNA Maker; A、AS、T、G、H, strain(a.the samples collected in 2015,b.collected in 2016,c and d.collected different season in 2022)
| 序号 No. | 菌株 Strain | Contigs | 已报到病毒Known virus | 同源性 Per. Ident (%) | 核酸 类型 Nucleotide type | 分类 Taxonomy | |||
|---|---|---|---|---|---|---|---|---|---|
| 组分 Component | 大小 Size(nt) | 登录号 GenBank | 名称/分离物/株系 Name/Isolate/Strain | ||||||
| 1 | AS24 | dsRNA-L | 2 537 | U41345 | HvV 190S | 63 | dsRNA | Totiviridae | |
| MN935504 | BmV1c/CY27 | 62 | |||||||
| MN935505 | BmV1d/CY27 | 62 | |||||||
| MN935503 | BmV1b/CY27 | 62 | |||||||
| MH396496 | BmV1 TMZS01 | 62 | |||||||
| dsRNA-S | 1 483 | MT648467 | AtPV1 | 54 | dsRNA | Partitiviridae | |||
| MN556985 | PVLaPV10 DMG-B_DN51686 | 53 | |||||||
| MN605502 | ENaPV8 PMS8_DN6389 | 51 | |||||||
| 2 | G3 | 1 | 1 189 | NC_040793 | AaVV1 | 74 | dsRNA | Totiviridae | |
| KT598230 | CmRV CmRV-IL | 59 | |||||||
| 2 | 694 | HE579658 | dsRNA | Totiviridae | |||||
| HE579659 | Uncultured totivirus | 90 | |||||||
| HE579660 | |||||||||
| 3 | 889 | HE579658 | |||||||
| HE579659 | Uncultured totivirus | 100 | |||||||
| HE579660 | |||||||||
| 3 | S8 | 1 | 3 411 | NC_040793 | AaVV1 | 92 | dsRNA | Totiviridae | |
| KT598230 | CmRV CmRV-IL | 92 | |||||||
| MK758089 | BmVV2 CY05 | 81 | |||||||
| 2 | 559 | KJ605397 | UvNV-1 GX-10 | 23 | dsRNA | Partitiviridae | |||
| 4 | T4 | 4 | 371 | MW328751 | TpMV1 | 99 | +ssRNA | Tymoviridae | |
| 5 | H74 | 1 | 3 262 | KJ817371 | AlRV1 HN28 | 99 | dRNA | 未分类 | |
| 6 | H63 | 1 | 3 684 | MK584808 | AaCV1 | dsRNA | Chrysoviridae | ||
| MN563140 | CREA-VE-32SY2 RNA1 | 98 | |||||||
| NC_040738 | |||||||||
| MK672910 | AaCV1 QY-2 RNA1 | 86 | |||||||
| 2 | 2 532 | MK584809 | AaCV1 CREA-VE-32SY2 RNA2 | 83 | |||||
| NC_040739 | AaCV1 RNA2 | 25 | |||||||
| 4 | 1 105 | MK584810 | AaCV1 | 97 | |||||
| NC_040736 | CREA-VE-32SY2 RNA3 | ||||||||
| 5 | 1 418 | MK584811 | AaCV1 CREA-VE-32SY2 RNA4 | 64 | |||||
| NC_040740 | AaCV1 RNA4 | 99 | |||||||
| 3 | 825 | MN605440 | ENaNV27 PMS2_317 | 93 | +ssRNA | Narnaviridae | |||
Tab.1 BLAST results for sequence determined
| 序号 No. | 菌株 Strain | Contigs | 已报到病毒Known virus | 同源性 Per. Ident (%) | 核酸 类型 Nucleotide type | 分类 Taxonomy | |||
|---|---|---|---|---|---|---|---|---|---|
| 组分 Component | 大小 Size(nt) | 登录号 GenBank | 名称/分离物/株系 Name/Isolate/Strain | ||||||
| 1 | AS24 | dsRNA-L | 2 537 | U41345 | HvV 190S | 63 | dsRNA | Totiviridae | |
| MN935504 | BmV1c/CY27 | 62 | |||||||
| MN935505 | BmV1d/CY27 | 62 | |||||||
| MN935503 | BmV1b/CY27 | 62 | |||||||
| MH396496 | BmV1 TMZS01 | 62 | |||||||
| dsRNA-S | 1 483 | MT648467 | AtPV1 | 54 | dsRNA | Partitiviridae | |||
| MN556985 | PVLaPV10 DMG-B_DN51686 | 53 | |||||||
| MN605502 | ENaPV8 PMS8_DN6389 | 51 | |||||||
| 2 | G3 | 1 | 1 189 | NC_040793 | AaVV1 | 74 | dsRNA | Totiviridae | |
| KT598230 | CmRV CmRV-IL | 59 | |||||||
| 2 | 694 | HE579658 | dsRNA | Totiviridae | |||||
| HE579659 | Uncultured totivirus | 90 | |||||||
| HE579660 | |||||||||
| 3 | 889 | HE579658 | |||||||
| HE579659 | Uncultured totivirus | 100 | |||||||
| HE579660 | |||||||||
| 3 | S8 | 1 | 3 411 | NC_040793 | AaVV1 | 92 | dsRNA | Totiviridae | |
| KT598230 | CmRV CmRV-IL | 92 | |||||||
| MK758089 | BmVV2 CY05 | 81 | |||||||
| 2 | 559 | KJ605397 | UvNV-1 GX-10 | 23 | dsRNA | Partitiviridae | |||
| 4 | T4 | 4 | 371 | MW328751 | TpMV1 | 99 | +ssRNA | Tymoviridae | |
| 5 | H74 | 1 | 3 262 | KJ817371 | AlRV1 HN28 | 99 | dRNA | 未分类 | |
| 6 | H63 | 1 | 3 684 | MK584808 | AaCV1 | dsRNA | Chrysoviridae | ||
| MN563140 | CREA-VE-32SY2 RNA1 | 98 | |||||||
| NC_040738 | |||||||||
| MK672910 | AaCV1 QY-2 RNA1 | 86 | |||||||
| 2 | 2 532 | MK584809 | AaCV1 CREA-VE-32SY2 RNA2 | 83 | |||||
| NC_040739 | AaCV1 RNA2 | 25 | |||||||
| 4 | 1 105 | MK584810 | AaCV1 | 97 | |||||
| NC_040736 | CREA-VE-32SY2 RNA3 | ||||||||
| 5 | 1 418 | MK584811 | AaCV1 CREA-VE-32SY2 RNA4 | 64 | |||||
| NC_040740 | AaCV1 RNA4 | 99 | |||||||
| 3 | 825 | MN605440 | ENaNV27 PMS2_317 | 93 | +ssRNA | Narnaviridae | |||
| [1] | 赵思峰, 廖依学, 王昌, 等. 新疆加工番茄病虫草害发生概况及综合防治技术[J]. 新疆农业科学, 2004, 41(5):274-276. |
| ZHAO Sifeng, LIAO Yixue, WANG Chang, et al. General Occurrent Situation of Processing Tomato Diseases Pests and Weeds and Their Integrated Management Techniques in Xinjiang[J]. Xinjiang Agricultural Sciences, 2004, 41(5):274-276. | |
| [2] |
Nuss D L. Biological control of chestnut blight: An example of virus-mediated attenuation of fungal pathogenesis[J]. Microbiological Reviews, 1992, 56(4):561-576.
DOI PMID |
| [3] |
Hollings M. Viruses associated with a die-back disease of cultivated mushroom[J]. Nature, 1962, 196(4858):962-965.
DOI |
| [4] | 胡开辉, 陈体强. 植物病原真菌及食用菌病毒研究及进展[J]. 福建农业学报, 1999, 14 (S1):190-200. |
| HU Kaihui, CHEN Tiqiang. Study and progress in the mycovirus of plant pathogenic fungi and edible fungi[J]. Fujian Journal of Agricultural Sciences, 1999, 14 (S1):190-200. | |
| [5] | 覃玥. 真菌病毒的研究进展[J]. 广西农业科学, 2005, 36(3):280-283. |
| QIN Yue. Recent achievements of mycovirus research[J]. Guangxi Agricultural Sciences, 2005, 36(3):280-283. | |
| [6] | Ghabrial S A and Suzuki N. Viruses of plant pathogenic fungi[J]. Annu.Rev. Phytopathol, 2009, 47:353-384. |
| [7] |
Dodds J A. Association of type 1 viral-like dsRNA with clubshaped particles in hypovirulent strains of Endothiaparasitica[J]. Virology, 1980, 107(1):1-12.
PMID |
| [8] |
Anagnostakis S L. Biological control of chestnut blight.[J]. Science, 1982, 215(4532):466-471.
PMID |
| [9] |
Nuss D L. Biological control of chestnut blight: an example of virus mediated attenuation of fungal pathogenesis[J]. Microbiological Reviews, 1992, 56(4):561.
DOI PMID |
| [10] |
Nuss D L. Hypovirulence: mycoviruses at the fungal -plant interface[J]. Nature Reviews Microbiology, 2005, 3(8):632-642.
DOI |
| [11] |
Yu X, Hillman B I. A geminivirus-related DNA mycovirus that confers hypovirulence to a plant pathogenic fungus[J]. Proceedings of the National Academy of Sciences, 2010, 107(18):8387-8392.
DOI URL |
| [12] |
Wu M, Zhang L, Li G, et al. Genome characterization of a debilitation-associated mitovirus infecting the phytopathogenic fungus Botrytis cinerea[J]. Virology, 2010, 406(1):117-26.
DOI PMID |
| [13] |
Li P, Zhang H, Chen X, et al. Molecular characterization of a novel hypovirus from the plant pathogenic fungus Fusarium graminearum[J]. Virology, 2015, 481(Print):151-160.
DOI URL |
| [14] |
曹钰晗, 李紫腾, 张静怡, 等. 我国苹果斑点落叶病菌携带dsRNA分析及一种dsRNA病毒的鉴定[J]. 中国农业科学, 2021, 54(22):4787-4799.
DOI |
| CAO Yuhan, LI Ziteng, ZHANG Jingyi, et al. Analysis of dsRNA Carried by Alternaria alternata f. sp. mali in China and Identification of a dsRNA Virus[J]. Scientia Agricultura Sinica, 2021, 54(22):4787-4799. | |
| [15] |
Shepherd H S. Virus like particles in tentoxin-producing strains of Alternaria alternata[J]. Journal of Virology, 1988, 62(10):3888-3891.
PMID |
| [16] |
Zabalgogeazcoa I, Petrunak D, Christ B J, et al. Unencapsidated double-stranded RNA associated with membrane vesicles in isolates of Alternaria solani[J]. Mycological Research, 1997, 101(5):604-608.
DOI URL |
| [17] |
Hayashi N, Tsuge T, Kobayashi H, et al. The presence of double-stranded RNAs in Alternaria alternata Japanese pear pathotype and their participation in AK-toxin productivity[J]. Japanese Journal of Phytopathology, 1988, 54(2):250-252.
DOI URL |
| [18] |
Aoki N, Moriyama H, Kodama M, et al. A novel mycovirus associated with four double-stranded RNAs affects host fungal growth in Alternaria alternata[J]. Virus Research, 2009, 140(1-2):179-187.
DOI URL |
| [19] |
Fuke K, Takeshita K, Aoki N, et al. The presence of double-stranded RNAs in Alternaria alternate Japanese pear pathotype is associated with morphological changes[J]. Journal of General Plant Pathology, 2011, 77:248-252.
DOI URL |
| [20] |
Lin Y H, Zhang H L, Zhao C J, et al. The complete genome sequence of a novel mycovirus from Alternaria longipes strain HN28[J]. Archives of Virology, 2015, 160(2):577-580.
DOI URL |
| [21] |
Komatsu K, Katayama Y, Omatsu T, et al. Genome sequence of a novel victorivirus identified in the phytopathogenic fungus Alternaria arborescens[J]. Archives of Virology, 2016, 161(6):1701-1704.
DOI PMID |
| [22] |
Zhong J, Shang H H, Zhu C X, et al. Characterization of a novel single-stranded RNA virus, closely related to fusariviruses, infecting the plant pathogenic fungusAlternaria brassicicola[J]. Virus Research, 2016, 217:1-7.
DOI PMID |
| [23] | 向均. 我国梨黑斑病病原菌种类及一种 dsRNA 病毒的鉴定[D]. 武汉: 华中农业大学, 2017. |
| XIANG Jun. Identification of the pathogenic fungi of pear black spot disease from China and a dsRNA virus in them[D]. Wuhan: Huazhong Agricultural University, 2017. | |
| [24] |
Okada R, Ichinose S, Takeshita K, et al. Molecular characterization of a novel mycovirus in Alternaria alternata manifesting two-sided effects: Down-regulation of host growth and up-regulation of host plant pathogenicity[J]. Virology, 2018, 519:23-32.
DOI PMID |
| [25] | 王双超. 禾谷镰刀菌低毒病毒FgHV1的序列分析及生物学功能研究[D]. 北京: 中国农业科学院, 2013. |
| WANG Shuangchao. Sequence Analysis and Biological Characteristics of Hypovirus FgHV1 from Fusarium graminearum[D]. Beijing: Chinese Academy of Agricultural Sciences, 2013. | |
| [26] |
Chiba S, Salaipeth L, Lin Y H, et al. A novel bipartite double-stranded RNA mycovirus from the white root rot fungus Rosellinia necatrix: Molecular and biological characterization, taxonomic considerations, and potential for biological control[J]. Journal of Virology, 2009, 83(24):12801-12812.
DOI PMID |
| [27] | Xiao Y, Li B, Fu Y, et al. Extracellular transmission of a DNA mycovirus and its use as a natural fungicide[C]. Proceedings of the National Academy of Sciences of the United States of America, 2013, 110(4):1452-1457. |
| [1] | ZENG Wanying, GENG Hongwei, CHENG Yukun, LI Sizhong, QIAN Songting, GAO Weishi, ZHANG Liming. Comprehensive evaluation of drought resistance during the rapid growth stage of sugar beet cultivars [J]. Xinjiang Agricultural Sciences, 2024, 61(9): 2140-2151. |
| [2] | XU Maomao, GAO Jie, LI Junming, LI Xin, LIU Lei, PAN Feng. Population diversity analysis of 20 commercial tomato cultivars [J]. Xinjiang Agricultural Sciences, 2024, 61(9): 2191-2196. |
| [3] | MIAO Yu, CHEN Cuixia, MA Yanming, XING Guofang, DONG Yusheng, CHEN Zhijun, WANG Xian, XIANG Li. Genetic diversity analysis of phenotypic traits of 276 Central Asian barley germplasm resources [J]. Xinjiang Agricultural Sciences, 2024, 61(8): 1888-1895. |
| [4] | WANG Qingpeng, YAN Chengcai, WANG Zhe, GOU Changqing, WANG Lan, FENG Hongzu, HAO Haiting. Anther bacterial diversity of Korla Fragrant Pear before and after flowering [J]. Xinjiang Agricultural Sciences, 2024, 61(8): 1976-1982. |
| [5] | LIU Huifang, HAN Hongwei, ZHUANG Hongmei, WANG Qiang, GAO Axiang, WANG Hao. Effects of increased application of microbial fertilizer on soil microbial diversity of cucumber in facilities [J]. Xinjiang Agricultural Sciences, 2024, 61(7): 1727-1737. |
| [6] | YANG Lu, WANG Na, FAN Shaoli, CHENG Ping, LI Hong, WANG Yangdong. Analysis of phenotypic trait variation characteristics of Morus nigra L.germplasm resources [J]. Xinjiang Agricultural Sciences, 2024, 61(5): 1172-1181. |
| [7] | GENG Meiju, WANG Xinhui, LIU Xiaoying, LYU Pei. Effects of sealing on fungal communities in desert grasslands [J]. Xinjiang Agricultural Sciences, 2024, 61(5): 1250-1258. |
| [8] | YAO Yuxiang, WANG Guoqiang, WANG Ke, YI Sha, YANG Xinya, LUO Xioaxia. Analysis of the bacterial communities structure and diversty of the Tarim River in different habitats [J]. Xinjiang Agricultural Sciences, 2024, 61(3): 708-718. |
| [9] | WANG Fan, LI Yushan, WANG Wei, DENG Chaohong, ZHAO Lianjia, MA Yue, XIAO Jing, ZHUANG Hongmei, Xu Hongjun. Genetic diversity analysis of major nutritional growth traits in 74 turnip germplasm resources [J]. Xinjiang Agricultural Sciences, 2024, 61(11): 2601-2613. |
| [10] | LI Chao, YANG Ying, ZHENG Heyun, YANG Jianli, CHEN Wei, YANG Mi, SUN Yuping. Genetic diversity and population structure analysis of melon germplasm resources in Xinjiang based on SSR fluorescence markers [J]. Xinjiang Agricultural Sciences, 2024, 61(11): 2614-2625. |
| [11] | HUANG Xinglei, WANG Weiran, WANG Meng, ZHU Jiahui, LIN Feng, QIN Guoli, YANG Jing, Alifu Aierxi, WU Quanzhong, KONG Jie. Diversity evaluation of machine-picked agronomic traits in Gossypium barbadense L. germplasm resources [J]. Xinjiang Agricultural Sciences, 2024, 61(1): 1-8. |
| [12] | XI Ouyan, WANG Chenri, Gulinuer Tulaxi, HU Hongying. Characteristics of pollinating insect types and floral visiting behavior in wild fruit forests of the Ili Valley [J]. Xinjiang Agricultural Sciences, 2024, 61(1): 190-198. |
| [13] | Wang Tianling, Hou Xianfei, Shi Junjie, Sun Quanxi, Jia Donghai, Gu Yuanguo, Shan Shihua, Miao Haocui, Li Qiang. Genetic diversity analysis of 67 creeping peanut germplasm resources [J]. Xinjiang Agricultural Sciences, 2024, 61(1): 42-54. |
| [14] | WANG Dandan, LI Yan, ZHANG Qingyin, Li Shidong, PANG Yongchao, MA Kunzhi, MA Long, NIU Ruisheng, ZHONG Zengming, QI Lianfen, SHI Jianhua. Effects of different microbial treatments on tomato soil microbial diversity [J]. Xinjiang Agricultural Sciences, 2023, 60(9): 2248-2257. |
| [15] | ZHOU Shijie, DONG Yiqiang, Asitaiken Julihaiti, NIE Tingting, JIANG Anjing, AN Shazhou. Quantitative characteristics and diversity of sagebrush desert plant communities on the northern slope of Tianshan Mountains [J]. Xinjiang Agricultural Sciences, 2023, 60(9): 2298-2305. |
| Viewed | ||||||
|
Full text |
|
|||||
|
Abstract |
|
|||||