

Xinjiang Agricultural Sciences ›› 2025, Vol. 62 ›› Issue (5): 1242-1248.DOI: 10.6048/j.issn.1001-4330.2025.05.022
• Plant Protection • Previous Articles Next Articles
HAO Le(
), LIU Yuan, HAN Ruxue, WANG Zhenjie, SHAO Yutao(
)
Received:2024-10-10
Online:2025-05-20
Published:2025-07-09
Correspondence author:
SHAO Yutao
Supported by:
郝乐(
), 刘媛, 韩茹雪, 张鹏, 王振杰(
), 邵玉涛(
)
通讯作者:
王振杰,邵玉涛
作者简介:郝乐(1998-),女,内蒙古包头人,硕士研究生,研究方向植物抗虫机制,(E-mail) 1289106599@qq.com
基金资助:CLC Number:
HAO Le, LIU Yuan, HAN Ruxue, WANG Zhenjie, SHAO Yutao. Analysis of expression patterns of glycometabolic pathway genes in sorghum anti-aphid response[J]. Xinjiang Agricultural Sciences, 2025, 62(5): 1242-1248.
郝乐, 刘媛, 韩茹雪, 张鹏, 王振杰, 邵玉涛. 高粱抗蚜反应中糖代谢途径基因的表达模式分析[J]. 新疆农业科学, 2025, 62(5): 1242-1248.
Add to citation manager EndNote|Ris|BibTeX
URL: https://www.xjnykx.com/EN/10.6048/j.issn.1001-4330.2025.05.022
| 试剂 Reagent | 体系 System(μL) |
|---|---|
| Total RNA/mRNA | 1 |
| Anchored Oligo (dT) primer | 1 |
| 2×TS Reaction Mix | 10 |
| TransScriptRT/RI Enzyme Mix | 1 |
| gDNA Remover | 1 |
| RNase-free Water | 6 |
Tab.1 The system of reverse transcription
| 试剂 Reagent | 体系 System(μL) |
|---|---|
| Total RNA/mRNA | 1 |
| Anchored Oligo (dT) primer | 1 |
| 2×TS Reaction Mix | 10 |
| TransScriptRT/RI Enzyme Mix | 1 |
| gDNA Remover | 1 |
| RNase-free Water | 6 |
| 基因名称 Gene name | 简称 Abbreviation | 描述 Description |
|---|---|---|
| Sobic.002G423600 | sbGOLS2 | 半乳糖醇合酶 Galactinol synthase 2 |
| Sobic.001G479800 | sbGUX2 | UDP葡糖醛酸:木聚糖-α-葡糖醛酸基转移酶2 UDP-glucuronate: xylan alpha-glucuronosyltransferase 2 |
| Sobic.001G138200 | sbGATL1 | 半乳糖醛糖基转移酶1 Probable galacturonosyltransferase-like 1 |
| Sobic.004G244100 | sbGATL9 | 半乳糖醛糖基转移酶9 Probable galacturonosyltransferase-like 9 |
| oSobic.002G268200 | sbFUCO1 | α-L-岩藻糖苷酶 Alpha-L-fucosidase 1 |
| Sobic.004G004800 | sbSST | 蔗糖:蔗糖1-果糖基转移酶 Sucrose: sucrose 1-fructosyltransferase |
| Sobic.001G263500 | sbE1311 | 葡聚糖内切-1,3-葡糖苷酶11 Glucan endo-1,3-beta-glucosidase 11 |
| Sobic.003G364600 | sbE1314 | 葡聚糖内切-1,3-葡糖苷酶14 Glucan endo-1,3-beta-glucosidase 14 |
| Sobic.001G441700 | sbXTH27 | 木葡聚糖内转葡糖基酶/水解酶蛋白27 Probable xyloglucan endotransglucosylase/hydrolase protein 27 |
| Sobic.004G273200 | sbXTH30 | 木葡聚糖内转葡糖基酶/水解酶蛋白30 Probable xyloglucan endotransglucosylase/hydrolase protein 30 |
| Sobic.003G244600 | sbCHIT3 | 酸性内切几丁质酶 Acidic endochitinase |
| Sobic.004G042700 | sbGUN5 | 内切葡聚糖酶5 Endoglucanase 5 |
| Sobic.003G325400 | sbGUAA1 | GMP合成酶〔谷氨酰胺水解酶〕 Probable GMP synthase [glutamine-hydrolyzing] |
| Sobic.007G223600 | sbGUAA2 | GMP合成酶〔谷氨酰胺水解酶〕 Probable GMP synthase [glutamine-hydrolyzing] |
| Sobic.006G132700 | sbCHIA | 内切几丁质酶 Endochitinase A |
| Sobic.009G114000 | sbBGL22 | β-葡萄糖苷酶22 Beta-glucosidase 22 |
| Sobic.002G233600 | sbISOA3 | 异淀粉酶3,叶绿体 Isoamylase 3, chloroplastic |
Tab.2 Genetic information related to glucose metabolism
| 基因名称 Gene name | 简称 Abbreviation | 描述 Description |
|---|---|---|
| Sobic.002G423600 | sbGOLS2 | 半乳糖醇合酶 Galactinol synthase 2 |
| Sobic.001G479800 | sbGUX2 | UDP葡糖醛酸:木聚糖-α-葡糖醛酸基转移酶2 UDP-glucuronate: xylan alpha-glucuronosyltransferase 2 |
| Sobic.001G138200 | sbGATL1 | 半乳糖醛糖基转移酶1 Probable galacturonosyltransferase-like 1 |
| Sobic.004G244100 | sbGATL9 | 半乳糖醛糖基转移酶9 Probable galacturonosyltransferase-like 9 |
| oSobic.002G268200 | sbFUCO1 | α-L-岩藻糖苷酶 Alpha-L-fucosidase 1 |
| Sobic.004G004800 | sbSST | 蔗糖:蔗糖1-果糖基转移酶 Sucrose: sucrose 1-fructosyltransferase |
| Sobic.001G263500 | sbE1311 | 葡聚糖内切-1,3-葡糖苷酶11 Glucan endo-1,3-beta-glucosidase 11 |
| Sobic.003G364600 | sbE1314 | 葡聚糖内切-1,3-葡糖苷酶14 Glucan endo-1,3-beta-glucosidase 14 |
| Sobic.001G441700 | sbXTH27 | 木葡聚糖内转葡糖基酶/水解酶蛋白27 Probable xyloglucan endotransglucosylase/hydrolase protein 27 |
| Sobic.004G273200 | sbXTH30 | 木葡聚糖内转葡糖基酶/水解酶蛋白30 Probable xyloglucan endotransglucosylase/hydrolase protein 30 |
| Sobic.003G244600 | sbCHIT3 | 酸性内切几丁质酶 Acidic endochitinase |
| Sobic.004G042700 | sbGUN5 | 内切葡聚糖酶5 Endoglucanase 5 |
| Sobic.003G325400 | sbGUAA1 | GMP合成酶〔谷氨酰胺水解酶〕 Probable GMP synthase [glutamine-hydrolyzing] |
| Sobic.007G223600 | sbGUAA2 | GMP合成酶〔谷氨酰胺水解酶〕 Probable GMP synthase [glutamine-hydrolyzing] |
| Sobic.006G132700 | sbCHIA | 内切几丁质酶 Endochitinase A |
| Sobic.009G114000 | sbBGL22 | β-葡萄糖苷酶22 Beta-glucosidase 22 |
| Sobic.002G233600 | sbISOA3 | 异淀粉酶3,叶绿体 Isoamylase 3, chloroplastic |
| 基因简称 Gene abbreviation | 正向引物 (5'-3) Forward primer (5'-3') | 反向引物 (5'-3) Reverse primer (5'-3') | 片段长度 Fragment length |
|---|---|---|---|
| sbGOLS2 | CTCAACGAGGCGCTTAATTATT | CAATTCCAAAACCTGTAGACCG | 84 |
| sbGUX2 | TGATGATGATCGACTACGTACC | CTAGCTATCTCGCTCTCAGCTA | 80 |
| sbCHIT3 | CTTCTACGATGTGCAGAACAAC | CTTGACGAATGAATAGCCACTG | 109 |
| sbGUAA2 | ATTCATAGTCTGCCTCCCAAAA | TAGATCCTCTGCATGTACTTGC | 193 |
| sbBGL22 | ATCAGCTTATCAGTACGAAGGG | CTTGTATTTGTGGTAGCCGTCT | 136 |
| sbISOA3 | CAGCATAAATCTTGGAGTCGTG | GGAAGTTACTTGTGTTTGCCAT | 223 |
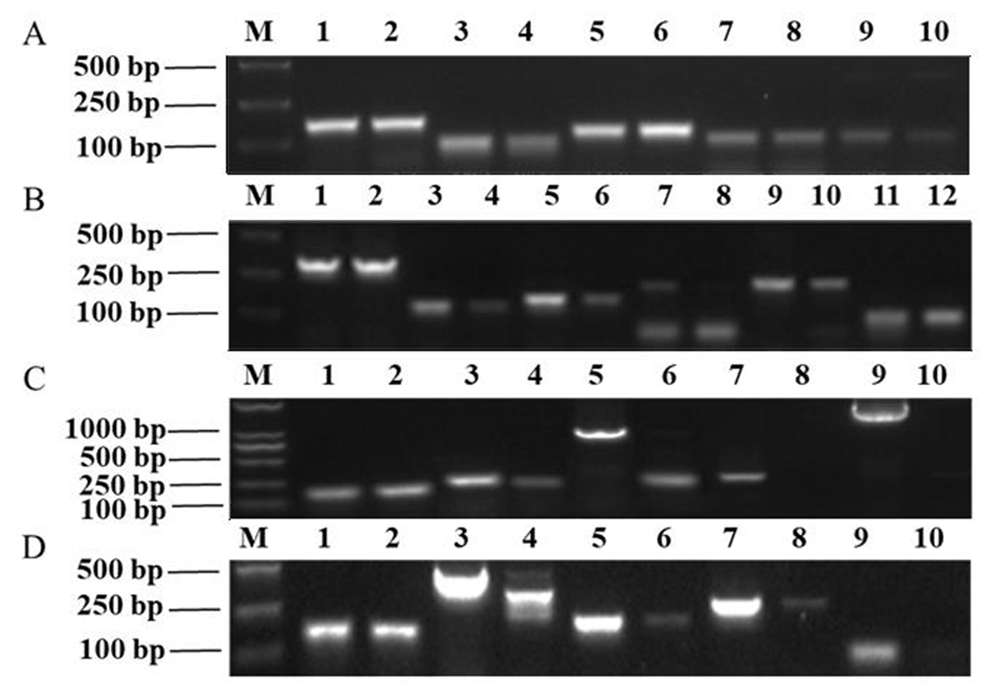
Tab.3 Primers sequence information
| 基因简称 Gene abbreviation | 正向引物 (5'-3) Forward primer (5'-3') | 反向引物 (5'-3) Reverse primer (5'-3') | 片段长度 Fragment length |
|---|---|---|---|
| sbGOLS2 | CTCAACGAGGCGCTTAATTATT | CAATTCCAAAACCTGTAGACCG | 84 |
| sbGUX2 | TGATGATGATCGACTACGTACC | CTAGCTATCTCGCTCTCAGCTA | 80 |
| sbCHIT3 | CTTCTACGATGTGCAGAACAAC | CTTGACGAATGAATAGCCACTG | 109 |
| sbGUAA2 | ATTCATAGTCTGCCTCCCAAAA | TAGATCCTCTGCATGTACTTGC | 193 |
| sbBGL22 | ATCAGCTTATCAGTACGAAGGG | CTTGTATTTGTGGTAGCCGTCT | 136 |
| sbISOA3 | CAGCATAAATCTTGGAGTCGTG | GGAAGTTACTTGTGTTTGCCAT | 223 |
| [1] | 陈冰嬬, 李继洪, 王阳, 等. 高粱(Sorghum bicolor(L.)moench)种质资源研究进展[J]. 西北农林科技大学学报(自然科学版), 2013, 41(1): 67-72. |
| CHEN (Bing)(Nou|Ru), LI Jihong, WANG Yang, et al. Research progress of Sorghum bicolor(L.) moench germplasm resources[J]. Journal of Northwest A&F University (Natural Science Edition), 2013, 41(1): 67-72. | |
| [2] | 张丽敏, 刘智全, 陈冰嬬, 等. 我国能源甜高粱育种现状及应用前景[J]. 中国农业大学学报, 2012, 17(6): 76-82. |
| ZHANG Limin, LIU Zhiquan, CHEN Bingru, et al. Current status and application prospects of Sweet Sorghum breeding in China[J]. Journal of China Agricultural University, 2012, 17(6): 76-82. | |
| [3] | 崔江慧. 高粱AFLP连锁图谱的构建及抗蚜基因的定位[D]. 保定: 河北农业大学, 2007. |
| CUI Jianghui. Construction of an Amplified Fragment Length Polymorphism Linkage Map of Sorghum And Mapping of Sorghum Resisitance to Sorghum Aphid Gene[D]. Baoding: Hebei Agricultural University, 2007. | |
| [4] |
刘国庆, 杜瑞恒, 侯升林, 等. 高粱抗蚜研究进展[J]. 植物学报, 2012, 47(2): 171-187.
DOI |
| LIU Guoqing, DU Ruiheng, HOU Shenglin, et al. Resistance to aphids in Sorghum: a review[J]. Chinese Bulletin of Botany, 2012, 47(2): 171-187. | |
| [5] | 齐金凤. 高粱抗蚜基因SSH文库的构建及其序列分析[D]. 沈阳: 沈阳农业大学, 2012. |
| QI Jinfeng. Construction and sequence analysis of SSH library of Sorghum aphid resistance gene[D]. Shenyang: Shenyang Agricultural University, 2012. | |
| [6] | 罗玉. 植物中的糖代谢及其相关酶[J]. 文山师范高等专科学校学报, 2004, 17(2): 155-159. |
| LUO Yu. The sugar metabolism and the relational enzymes in plants[J]. Journal of Wenshan Teachers’ College, 2004, 17(2): 155-159. | |
| [7] | 马仁萍. 杜仲花粉初生代谢物与次生代谢物的研究[D]. 杨凌: 西北农林科技大学, 2008. |
| MA Renping. Study on the Primary Metabolites and Secondary Metabolites in Pollen of Eucommia Ulmoides Oliv[D]. Yangling: Northwest A & F University, 2008. | |
| [8] | 尹恒, 王文霞, 赵小明, 等. 植物糖生物学研究进展[J]. 植物学报, 2010, 45(5): 521-529. |
| YIN Heng, WANG Wenxia, ZHAO Xiaoming, et al. Research progress in plant glycobiology[J]. Chinese Bulletin of Botany, 2010, 45(5): 521-529. | |
| [9] | 张春梅. 枣糖酸代谢及其驯化的分子机制研究[D]. 杨凌: 西北农林科技大学, 2016. |
| ZHANG Chunmei. Molecular mechanism related to the metabolism of sugar, Acid and domestication for Ziziphus Jujuba Mill[D]. Yangling: Northwest A & F University, 2016. | |
| [10] | 夏世龙. 盐碱条件对甜瓜生长发育与糖代谢的影响[D]. 大庆: 黑龙江八一农垦大学, 2015. |
| XIA Shilong. Effects of saline-alkaline conditions on growth and sugar metabolism of melon[D]. Daqing: Heilongjiang Bayi Agricultural University, 2015. | |
| [11] | Machado R A R, Arce C C M, Ferrieri A P, et al. Jasmonate-dependent depletion of soluble sugars compromises plant resistance to Manduca sexta[J]. New Phytologist, 2015, 207(1): 91-105. |
| [12] | Zou K K, Li Y, Zhang W J, et al. Early infection response of fungal biotroph Ustilago maydis in maize[J]. Frontiers in Plant Science, 2022, 13: 970897. |
| [13] | Lv W T, Du B, Shangguan X X, et al. BAC and RNA sequencing reveal the brown planthopper resistance gene BPH15 in a recombination cold spot that mediates a unique defense mechanism[J]. BMC Genomics, 2014, 15(1): 674. |
| [14] | Wang F M, Zhao S M, Han Y H, et al. Efficient and fine mapping of RMES1 conferring resistance to Sorghum aphid Melanaphis sacchari[J]. Molecular Breeding, 2013, 31(4): 777-784. |
| [15] | 郭磊. 高粱RMES1基因介导的抗蚜反应中赤霉素(GA)信号转导途径的变化研究[D]. 包头: 内蒙古科技大学, 2021. |
| GUO Lei. Study on the changes of gibberellin signalingtransduction passway in resistance to aphidsmediated by RMES1 gene in Sorghum[D]. Baotou: Inner Mongolia University of Science & Technology, 2021. | |
| [16] | 范元兰, 陈敏, 王其刚, 等. 植物蚜虫及其抗性研究进展[J]. 江苏农业科学, 2020, 48(14): 33-44. |
| FAN Yuanlan, CHEN Min, WANG Qigang, et al. Research progress on plant aphids and their resistance[J]. Jiangsu Agricultural Sciences, 2020, 48(14): 33-44. | |
| [17] |
窦佳欣, 田甜, 王鹏, 等. 小麦茎秆蔗糖积累转运全基因组关联分析[J]. 华北农学报, 2023, 38(5): 39-50.
DOI |
| DOU Jiaxin, TIAN Tian, WANG Peng, et al. Genome-wide association study of stems sucrose accumulation and translocation in wheat[J]. Acta Agriculturae Boreali-Sinica, 2023, 38(5): 39-50. | |
| [18] | Zanini A A, Di Feo L, Luna D F, et al. Cassava common mosaic virus infection causes alterations in chloroplast ultrastructure, function, and carbohydrate metabolism of cassava plants[J]. Plant Pathology, 2021, 70(1): 195-205. |
| [19] |
Xue N, Zhan C, Song J, et al. The glutamate receptor-like 3.3 and 3.6 mediate systemic resistance to insect herbivores in Arabidopsis[J]. Journal of Experimental Botany, 2022, 73(22): 7611-7627.
DOI PMID |
| [20] | 王雪. 大豆抗胞囊线虫机制及与抗性相关的差异蛋白质组学研究[D]. 沈阳: 沈阳农业大学, 2009. |
| WANG Xue. The Resistant Mechanis and Different Proteomics od Soybean against Hererodera glycines[D]. Shenyang: Shenyang Agricultural University, 2009. |
| [1] | ZHANG Niao, WANG Hui, FENG Guojun, Zaituniguli Kuerban. Study on the agronomic traits and quality differences of grain sorghum in Xinjiang [J]. Xinjiang Agricultural Sciences, 2024, 61(9): 2160-2167. |
| [2] | Zaituniguli Kuerban, Tuerxun Tuerhong, Yisilayi Dawuti, WANG Hui, ZHOU Dawei. Effects of different nitrogen fertilizer topdressing methods on photosynthetic characteristics and yield of sweet sorghum [J]. Xinjiang Agricultural Sciences, 2024, 61(2): 326-335. |
| [3] | SHANG Jing, PANG Hongbo, WANG Lanlan, LI Xuemei, WANG Yanqiu, LI Yueying. Study on the relationship between auxin and sorghum heterosis [J]. Xinjiang Agricultural Sciences, 2023, 60(4): 841-846. |
| [4] | YUE Li, WANG Hui, Shanqimike , Zaituniguli Kuerban, TU Zhendong. Microbial diversity analysis of sweet sorghum silage using High-Throughput sequencing [J]. Xinjiang Agricultural Sciences, 2023, 60(11): 2742-2750. |
| [5] | Yelesheng Tohedabuick, TU Zhendong, LI Binbin, Nadila Waili, CHEN Ziyun, LI Xuewen. Optimization of Enzymolysis of Sweet Sorghum Juice by Response Surface Methodology [J]. Xinjiang Agricultural Sciences, 2022, 59(7): 1632-1641. |
| [6] | Zaituniguli Kuerban , Tuerxun Tuerhong, ZHU Min, TU Zhendong, Aikebaier Yilahong. Effects of Continuous Cropping on Agronomic Shape and Yield of Sweet Sorghum No.3 [J]. Xinjiang Agricultural Sciences, 2020, 57(7): 1211-1222. |
| [7] | MEI Chuang, YAN Peng, Aisajan Mamat, ZHU Yan-fei, MA Kai, HAN Li-qun, WANG Ji-xun. Response of Secondary Metabolites to Insect Stress in Xinjiang Wild Apple [J]. Xinjiang Agricultural Sciences, 2019, 56(4): 678-684. |
| [8] | Zaituniguli Kuerban , TU Zhen-dong ,YE Kai , Aikebaier Yilahong. Comparative Study on Yield and Nutritional Components of Multiple Cropping Forage Sorghum and Corn [J]. Xinjiang Agricultural Sciences, 2019, 56(4): 660-666. |
| [9] | YUE Li,Shanqimike, Zaituniguli Kuerban, WANG Hui, YE Kai, MAO Jun, TU Zhen-dong. Effects of Cutting Time and Additives on Fermentation Quality of Sweet Sorghum Silage [J]. Xinjiang Agricultural Sciences, 2018, 55(8): 1428-1435. |
| [10] | Zaituniguli Kuerban, YUE Li, TU Zhen-dong, YE Kai, Aikebaier Yilahong. Study on the Effects of Different Regions on the Agronomic Traits and Nutritional Components of Sweet Sorghum [J]. Xinjiang Agricultural Sciences, 2018, 55(10): 1809-1818. |
| [11] | YUE Li, TU Zhen-dong, WANG Hui, Shanqimike, YE Kai. Study on the Physicochemical Index Variation of the Sweet Sorghum Fermented Grains Mixed with Stalks [J]. Xinjiang Agricultural Sciences, 2017, 54(9): 1697-1706. |
| [12] | YUE Li, YE Kai, Zaituniguli Kuerban, WANG Hui, Shanqimike, TU Zhen-dong. Effects of Silage Inoculants on Quality of Sweet Sorghum Straw and Distiller's Grains [J]. Xinjiang Agricultural Sciences, 2017, 54(10): 1856-1862. |
| [13] | LIU Xiang-yu;LIU Zu-xin;Japar Niyazi;Siladi Simayi;Ayijiamali Japar;GUO Feng. Comprehensive Evaluation of Sweet Sorghum Varieties Based on Principal Component Silabi Analysis and Gray Relational Grade Analysis [J]. , 2016, 53(1): 99-107. |
| [14] | Baerguli Sufuer;Ainiwaer Aishan;AN Sha-zhou;Yibadaiti Yimiti;Sirejiguli Ashan. Effects of Adding Formaldehyde Additives on Fermented Half-Dry Silage of Sorghum Sudanense Stapf for Nutrients Change Rule [J]. , 2014, 51(10): 1900-1906. |
| [15] | LU Liang;YE Kai;TU Zhen-dong;ZHU Min;Zaituniguli Kuerban. Studies on the Activities of SS and SPS Enzymes and Sucrose Metabolism of Sweet Sorghum under Open-air Storage [J]. , 2013, 50(4): 710-717. |
| Viewed | ||||||
|
Full text |
|
|||||
|
Abstract |
|
|||||